全瓷牙冠
完整保護,自然美麗

全瓷牙冠是什麼

⎯ 材質結構與美觀表現

不含金屬,整體透光自然、較不易造成牙齦變黑

也能夠承受一般咬合力,具有高硬度與穩定性

為什麼需要做全瓷冠?

⎯ 材質結構與美觀表現

不含金屬,整體透光自然、較不易造成牙齦變黑

也能夠承受一般咬合力,具有高硬度與穩定性

與金屬燒瓷的主要差別在哪裡?

⎯ 材質結構與美觀表現

不含金屬,整體透光自然、較不易造成牙齦變黑

也能夠承受一般咬合力,具有高硬度與穩定性

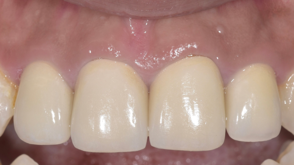
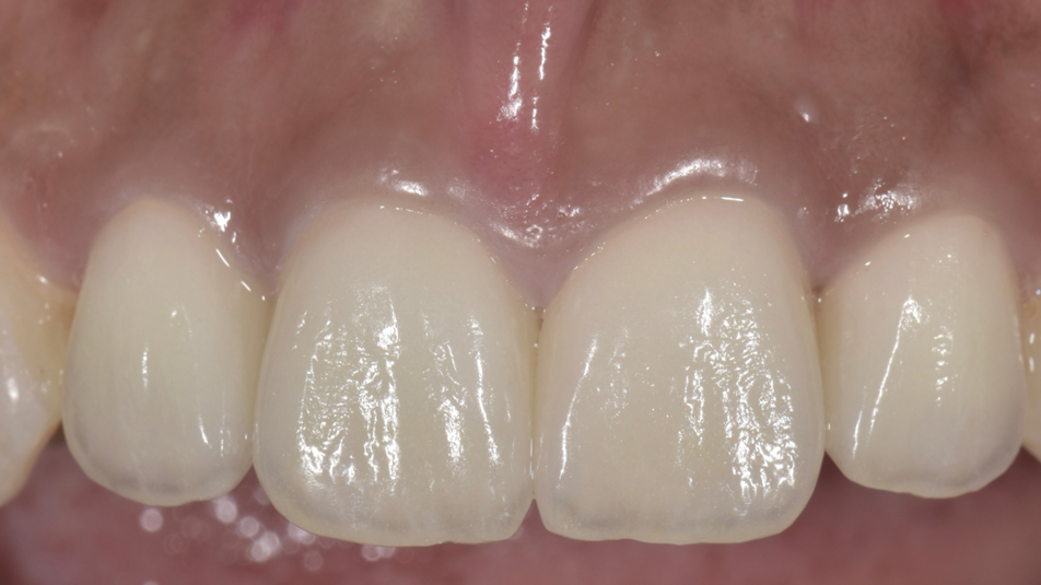
作品集(左右滑動看對比)

案例-1
案例-2
案例-3

常見問題

現代的全瓷冠材料(尤其是二氧化鋯)硬度非常高,甚至超過真牙的琺瑯質。

只要避免刻意啃咬硬殼(如螃蟹、骨頭、冰塊),正常飲食下是非常耐用的。

瓷冠的強度夠,因此在某些情況下,所需的修磨量甚至比傳統金屬瓷牙還少,能保留更多珍貴的自然齒質。

在良好的口腔清潔與定期回診檢查下,全瓷冠的使用年限通常可達 10-15 年以上,甚至更久。

透光陶瓷與分層上色設計,自然匹配鄰牙。

笑起來自然,別人只會覺得「你變好看了」,卻看不出做過牙冠。